Marília – Um alerta da Secretaria do Meio Ambiente e Serviços Públicos sobre população de quatis no bosque municipal revela casos de maus-tratos que podem configurar crimes em Marília.
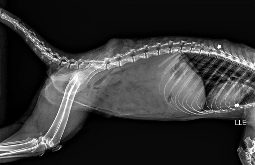
Há relatos de quatis atingidos por disparos de espingarda de chumbo, incluindo uma fêmea com projéteis alojados no corpo, inclusive na região da coluna vertebral.
Um caso com acompanhamento pela médica veterinária Melissa Campitelli revelou, após raio-x, identificou dois chumbinhos no corpo de um dos animais.
A prática configura crime ambiental, e a Prefeitura informou que irá formalizar denúncia junto à Polícia Ambiental.
Conforme o relatório, a presença dos animais chama a atenção dos moradores, mas há muitas informações pouco conhecidas.
O comunicado lembra que são animais silvestres, com proteção legal inclusive para medidas de manejo e controle de população. Veja mais informações

Vida nos vales
conforme o documento, os animais não tem habitat fixo no bosque e vivem nos vales da região e vão ao bosque à procura de alimentos. “O principal acesso ocorre por áreas próximas à rua Santa Helena, de onde atravessam vias urbanas, principalmente no período da manhã.”
As travessias são mais frequentes em horários de maior fluxo entre 7h e 8h30, das 12h às 13h e das 17h às 18h30, especialmente nas imediações da Avenida Brigadeiro Eduardo Gomes e da Rua Santa Helena.
A Secretaria também esclarece que não há superpopulação de quatis. “A sensação de excesso ocorre devido ao intenso deslocamento dos animais ao longo do dia, inclusive em travessias por vias movimentadas, o que aumenta a visibilidade.”


Oferta de alimentos
O comunicado indica ainda presença constante por oferta de alimento fácil, especialmente por conta do descarte irregular de resíduos. Após se alimentarem, os animais retornam ao habitat natural no fim da tarde e à noite.
“Existe uma sensação de grande quantidade, mas, proporcionalmente à área do bosque, não se trata de infestação”, explicou o secretário adjunto, Rodrigo Más.
Por serem animais silvestres, os quatis são protegidos por legislação federal. Após consulta ao órgão ambiental estadual, não foi autorizada qualquer intervenção, como captura ou remoção, já que não há área adequada para soltura.





